SERVICES
Digital X-Rays in Tracy, CA
Oral Exams
Why Digital X-rays are a Game Changer for Tracy Patients
If you’ve lived in Tracy for a decade or two, you probably remember the old way of getting dental pictures. You had to bite down on those sharp, plastic pieces of film that poked your gums, and then you’d sit in the chair for ten minutes waiting for the Dentist to develop them in a dark room.
In our Tracy office, we’ve moved past that. We use digital x-rays because they are faster, safer, and much better at helping us see what’s really going on with your health. Whether you’re a commuter coming off the 205 or a parent picking up the kids from George Kelly Elementary, you deserve technology that respects your time and your safety.
Your Trusted Tracy Dentist
Since 2013
Educational
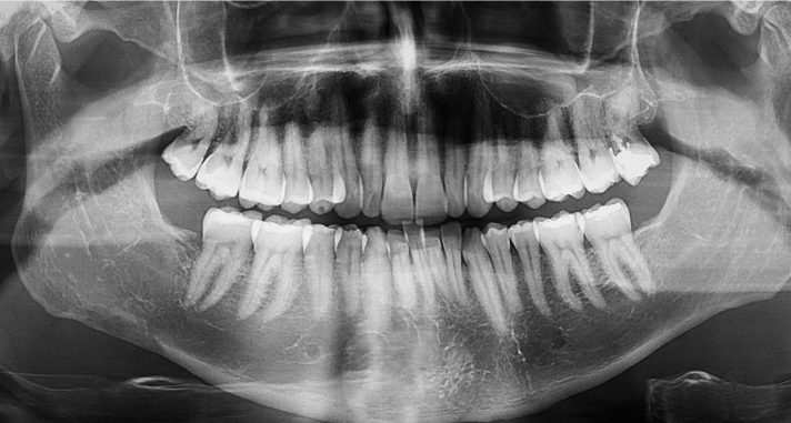
What Exactly are Digital X-rays?
Instead of using old-school film, digital x-rays use an electronic sensor that sends a high-resolution image of your mouth directly to our computer screen. It happens almost instantly.
This tech allows us to zoom in, change the contrast, and see tiny details that would be invisible on a small piece of blurry film. We can spot a small cavity starting under an old crown or see the exact position of a wisdom tooth before it starts causing trouble for a student at West High.
Why Should You Care About Digital Tech?
Most people in the 95376 and 95377 zip codes ask us two main things: “Is it safe?” and “Is it going to cost more?” Here is why we made the switch for our neighbors:
- Massively Reduced Radiation: This is the big one. According to the American Dental Association, digital sensors require up to 80% or 90% less radiation than traditional film. It’s a huge win for your long-term health.
- Instant Results: We don’t have to wait for chemicals to develop. We can show you the images right away on a monitor. This helps us explain your treatment plan while you’re still in the chair.
- Better for the Environment: Since we don’t use lead foils or toxic developing chemicals, it’s a much greener way to run a dental practice in the Central Valley.
- Easy Sharing: If you need to see a specialist like an Oral Surgeon or an Orthodontist in town, we can email your files in seconds. No more carrying bulky envelopes around.
Diagnosing Local Issues Early
Living in a place like Tracy, we see specific patterns. The dust from the fields during harvest season can sometimes cause sinus pressure that people mistake for a toothache. With digital x-rays, we can clearly see the floor of your sinus cavity compared to your tooth roots. This helps us give you a real answer so you don’t end up getting a filling you don’t actually need.
We also use these images to check for bone loss—something that is very important for our patients near the Southwinds area or downtown who might be considering dental implants.
The FDA notes that dental x-rays are essential for finding problems that a physical exam just can’t catch, such as infections inside the jawbone or tumors. By using the digital version, we get the best possible view with the least amount of risk.
See Your Smile in High Definition
We believe that when you can see what we see, you feel more in control of your health. No more guessing—just clear, digital proof of what’s happening under the surface.
FAQ
Common Questions
How safe are digital dental x-rays? +
What is the difference between digital X-ray and normal X-ray? +
How much radiation do you get from digital dental x-rays? +
Are digital dental x-rays better than film? +
Should I decline dental x-rays? +
Visit Us Today
Schedule an Appointment
Maintain the stability and appearance of your newly aligned smile. Contact Smiles Dental Spa to schedule an appointment for dental retainers and space maintainers with Dr. Shirley Zhao.
Contact our office at (209) 836-1748 or conveniently schedule your appointment online through NexHealth. Visit us at 1431 N Tracy Blvd, Tracy, CA 95376—trusted care tailored for your family.

Phone

Location
1431 N Tracy Blvd
Tracy, CA 95376